Thursday, November 21, 2013

Children that Exercise have Healthier Knees as Adults


Written by Jeff Behar & copied from: mybesthealthportal.net

Being more physically active in childhood is linked to greater knee cartilage and tibial bone area in adulthood, according to new research findings presented at the 2012 American College of Rheumatology Annual Meeting in Washington, D.C.


While physical activity in childhood is often recommended as a means to improve adult joint health and function, little evidence exists to illustrate the correlation between childhood physical performance measures and bone structure in adulthood later on. The goal of the study was to determine if physical activity in youth was associated with more knee cartilage and tibial bone area (the bone that forms the distal part of the knee joint) 25 years later, says Graeme Jones, MD, PhD, investigator in the study and professor of rheumatology and epidemiology at Menzies Research Institute in Hobart, Tasmania.
Real-time data was gathered in 1985 on the childhood physical performance in a diverse group of 298 people in Australian. Of these, 48.7 percent were female and ages ranged from 31 to 41. The participant’s knee cartilage and tibial bone area were measured using T-1 weighted, fat-suppressed magnetic resonance imaging.
Although Dr. Jones and his colleagues had questionnaire responses on the physical activity level of the children taken in 1985, they found that current-day measurements revealed more accurate information.
Adjustments were made for age, gender, body mass index (BMI) and past joint injuries that may affect the cartilage or bone area. The results showed that childhood physical activity, including physical work capacity, leg and hand muscle strength, sit-ups, and long and short runs had a significant, consistent association with greater tibial bone area. In addition, higher childhood physical work capacity measures were associated with greater tibial cartilage area. Other types of physical activity in childhood were associated with greater cartilage area, but these measures were less significant after adjusting for medial tibial bone area.
Dr. Jones and his colleagues do not know exactly why or how physical activity may build bone and cartilage years later. “The mechanism is uncertain, but I would contend that bone area gets larger to cope with the extra demands put on it by higher levels of physical activity, and then this lead to more cartilage, as cartilage covers the surface of bone,” he says.
While the study’s findings lend greater support to the effort in many developed countries to encourage children to be more physically active, cartilage and bone are still vulnerable to damage later on that could contribute to OA, says Dr. Jones.
“Physical activity is good, but if people have an injury while doing the physical activity, this is bad. So injury prevention is important. Avoiding a high body mass index is also important, and physical activity will help with this.”
This study was funded by NHMRC of Australia.

Get Strong! Stay Strong!
Chris

Saturday, November 16, 2013

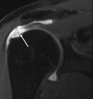
Can Physical Therapy for Rotator Cuff Tears Prevent Surgery?

Copied from MikeReinold.com
Rotator cuff repair surgery and postoperative rehabilitation continue to be some of the most debated topics on the shoulder at orthopedic and physical therapy conferences.  Numerous studies have been published showing the failure rate of rotator cuff repair surgery ranges anywhere from 25-90%.
rotator cuff tearWhile this failure rate is certainly alarming, the term “failure” must be defined.  In traditional study models, success is defined as an intact rotator cuff, which makes sense.  However, one of the more interesting findings in most of these studies is that despite the “failed” repair, most patients are quite satisfied with their functional status and outcome.  This really does have to make you question how we define “failure” as patient outcomes and satisfaction seems more important than radiological findings.
These studies have sparked debate over the role of postoperative physical therapy follow rotator cuff repair surgery, with many physicians becoming more conservative and slowing down their protocols.  This obviously implies that some physicians believe that early physical therapy is the reason why failures occur.  This thinking may be flawed and factors such as tissue quality, tear severity, patient selection, surgical technique, and others may be more likely related to ultimate failure rates.
Another perspective to consider is that despite having a failed rotator cuff repair, patient satisfactions were good.  From experience, I can tell you that patients are satisfied when they:
  1. Have less pain
  2. Regain their mobility
  3. Return to functional activities
So the question really should be asked – if there is up to a 90% surgical failure rate but significant increase in satisfaction and outcomes, can physical therapy for rotator cuff tears alone without surgery be just as beneficial at helping patients reduce pain, regain mobility, and return to their activities?

Can Physical Therapy for Rotator Cuff Tears Prevent the Need for Surgery?

A recent study in the Journal of Shoulder and Elbow Surgery looked at this exact question.  The MOON Shoulder Group, which is a multi-center network of research teams around the country, followed a group of 381 patients with atraumatic full-thickness tears of the rotator cuff for a minimum of two tears.  The mean age of the patients was 62 years with a range of 31-90 years.
The patients performed 6-12 weeks of nonoperative physical therapy focusing on basic rotator cuff strengthening, soft tissue mobilization, and joint mobilizations.
At the six-week mark, patients were assessed and 9% chose to have rotator cuff repair surgery.  Patients were again assessed and the 12-week mark.  At 12-weeks, an additional 6% chose to have surgery.  In total, 26% of patients decided to have surgery by the 2-year follow-up mark.  Statistical analysis revealed that if a patient does not choose to have surgery within the first 12-weeks of nonoperative rehabilitation, they are unlikely to need to surgery.
Nearly 75% of patients avoided rotator cuff repair surgery by performing physical therapy despite having full thickness cuff tears. [Click to Tweet]
That is a pretty significant finding.

Keys to Nonoperative Rotator Cuff Rehabilitation

The results of this study could have a large impact on how we treat rotator cuff tears.  Physical therapy should be attempted prior to surgery, even in the case of a full thickness tear.  To maxmize these outcomes, a comprehensive rehabilitation program should be developed.  When working on patients with rotator cuff tears, I tend to focus on 3 key areas.

Restore Shoulder Mobility

This includes both passive and active mobility.  For passive mobility, it seems to me that shoulder range of motion is gradually lost as the rotator cuff symptoms increase.   Perhaps it is a pain avoidance strategy, disuse, or some other factor.  You’ll often find glenohumeral joint capsule hypomobility and soft tissue restrictions.  Soft tissue mobilization, joint mobilizations, and range of motion exercises should be designed based on the specific loss of motion exhibited by the patient.

Restore The Ability of the Rotator Cuff to Dynamically Stabilize

This is essentially the same as restoring active mobility of the shoulder.  The rotator cuff has to function properly to allow active mobility without restrictions.  In a previous article, I discussed the suspension bridge concept and how you can have a rotator cuff tear without symptoms.  You can see in this diagram that if you have properly functioning anterior and posterior rotator cuff muscles, you can often still elevate the arm despite a tear to the supraspinatus.
rotator cuff suspension bridge concept
Exercises designed to enhance strength and dynamic stability of the shoulder should be incorporated.  In my experience external rotation strength tends to be the most limited and needs to most attention.

Reduce the Impact of the Kinetic Chain

In addition to restore mobility and stability of the shoulder, you should also consider the impact of the kinetic chain on shoulder function.  Read my past article on the different types of shoulder impingement to understand some of these concepts.  Any dysfunctions of the scapulothoracic joint, cervical spine, thoracic spine, and lumbopelvic complex should be assessed.  These areas all have a significant impact on the alignment, mobility, and stability of the glenohumeral joint.
If you want to learn more about how I perform nonoperative rehabilitation for rotator cuff tears, I have a past webinar on shoulder impingement that discusses many of the same keys to treatment.
Using these principles, you can formulate a rehabilitation program that could potentially save 75% of people with rotator cuff tears from needed rotator cuff repair surgery.  Hopefully studies like this will continue to shed light on the impact physical therapy can have on the satisfaction and outcomes of patients with rotator cuff tears, with or without surgery.

Mikes website is chalk full of great info!
Get Strong! Stay Strong!
Chris

Monday, November 11, 2013

Essential Amino Acids and Knee Replacement


Copied from:   J Clin Inves 2013

Background. By the year 2030, 3.48 million older U.S. adults are projected to undergo total knee arthroplasty (TKA). Following this surgery, considerable muscle atrophy occurs, resulting in decreased strength and impaired functional mobility. Essential amino acids (EAAs) have been shown to attenuate muscle loss during periods of reduced activity and may be beneficial for TKA patients.

Methods. We used a double-blind, placebo-controlled, randomized clinical trial with 28 older adults undergoing TKA. Patients were randomized to ingest either 20 g of EAAs (n = 16) or placebo (n = 12) twice daily between meals for 1 week before and 2 weeks after TKA. At baseline, 2 weeks, and 6 weeks after TKA, an MRI was performed to determine mid-thigh muscle and adipose tissue volume. Muscle strength and functional mobility were also measured at these times.

Results. TKA patients receiving placebo exhibited greater quadriceps muscle atrophy, with a –14.3 ± 3.6% change from baseline to 2 weeks after surgery compared with –3.4 ± 3.1% for the EAA group (F = 5.16, P = 0.036) and a –18.4 ± 2.3% change from baseline to 6 weeks after surgery for placebo versus –6.2 ± 2.2% for the EAA group (F= 14.14, P = 0.001). EAAs also attenuated atrophy in the nonoperated quadriceps and in the hamstring and adductor muscles of both extremities. The EAA group performed better at 2 and 6 weeks after surgery on functional mobility tests (all P < 0.05). Change in quadriceps muscle atrophy was significantly associated with change in functional mobility (F = 5.78, P = 0.021).

Conclusion. EAA treatment attenuated muscle atrophy and accelerated the return of functional mobility in older adults following TKA.

Love to see medicine and nutrition come together!

Get Strong! Stay Strong!




Thursday, September 26, 2013

Dry Needling for Painful Muscles


Copied from jospt.org




PERSPECTIVES FOR PATIENTS

Painful and Tender Muscles: Dry Needling Can Reduce Myofascial Pain Related to Trigger Points Muscles

Published: Journal of Orthopaedic & Sports Physical Therapy, 2013, Volume: 43 Issue: 9 Pages: 635-635doi:10.2519/jospt.2013.0505
Abstract
Trigger points are irritable, hard “knots” within a muscle that may cause pain over a large area, leading to difficulty performing everyday tasks. When a person has painful muscles and trigger points, it is sometimes called myofascial pain syndrome. Common locations for these problems are the arm and neck. Dry needling is a treatment that involves a very thin needle being pushed through the skin to stimulate a trigger point. Dry needling may release the tight muscle bands associated with trigger points and lead to decreased pain and improved function. In a study published in the September 2013 issue of JOSPT, a group of researchers analyzed the results of the best clinical studies that have been conducted thus far to determine if dry needling helps to reduce neck and arm pain. J Orthop Sports Phys Ther 2013;43(9):635. doi:10.2519/jospt.2013.0505
Trigger points are irritable, hard “knots” within a muscle that may cause pain over a large area, leading to difficulty performing everyday tasks. When a trigger point is touched, it hurts and can also cause pain in nearby areas (see illustration). When a person has painful muscles and trigger points, it is sometimes called myofascial pain syndrome. Common locations for these problems are the arm and neck. Dry needling is a treatment that involves a very thin needle being pushed through the skin to stimulate a trigger point. Dry needling may release the tight muscle bands associated with trigger points and lead to decreased pain and improved function. In a study published in the September 2013 issue of JOSPT, a group of researchers analyzed the results of the best clinical studies that have been conducted thus far to determine if dry needling helps to reduce neck and arm pain.
New Insights
Choose section
After reviewing many sources of information and evaluating both the quality and results of the relevant studies, the researchers determined that dry needling can be effective in providing pain relief. These studies noted that a “twitch” often occurs when a needle is inserted into the trigger point, and this “twitch” may be a sign that the treatment will be helpful. The authors of the JOSPT article also found that the effects of dry needling varied across studies and that more research needs to be done to determine whether dry needling is better for this condition than other treatment options.
Practical Advice
Choose section
Myofascial pain syndrome, or trigger points, can be a source of pain and limit function. Dry needling is a specialized treatment for trigger points provided by some physical therapists. It is one possible treatment option, usually combined with other techniques including exercises, to manage myofascial pain. Your physical therapist can perform a thorough evaluation to help determine if you are a good candidate for this treatment as part of a program designed to reduce your pain and improve your function. For more information on the treatment of myofascial pain, contact your physical therapist specializing in musculoskeletal disorders.
For this and more topics, visit JOSPT Perspectives for Patients online at www.jospt.org.
This JOSPT Perspectives for Patients is based on an article by Kietrys DM et al titled “Effectiveness of Dry Needling for Upper-Quarter Myofascial Pain: A Systematic Review and Meta-analysis,” J Orthop Sports Phys Ther 2013;43(9):620–634. Epub 11 June 2013. doi:10.2519/jospt.2013.4668.
This Perspectives article was written by a team of JOSPT's editorial board and staff, with Deydre S. Teyhen, PT, PhD, Editor, and Jeanne Robertson, Illustrator.
figure
NEEDLING TRIGGER POINTS. Trigger points, often a component of myofascial pain syndrome, are irritable, hard “knots” within a muscle that may cause pain over a large area (A). A potential treatment option is dry needling, which consists of a very thin needle that your therapist pushes through the skin to stimulate the trigger points, muscles, or connecting tissues (B). Dry needling may release the tight muscle bands and decrease pain (C).
JOSPT PERSPECTIVES FOR PATIENTS is a public service of the Journal of Orthopaedic & Sports Physical Therapy. The information and recommendations contained here are a summary of the referenced research article and are not a substitute for seeking proper healthcare to diagnose and treat this condition. For more information on the management of this condition, contact your physical therapist or healthcare provider specializing in musculoskeletal disorders. JOSPT Perspectives for Patients may be photocopied noncommercially by physical therapists and other healthcare providers to share with patients. The official journal of the Orthopaedic Section and the Sports Physical Therapy Section of the American Physical Therapy Association (APTA), JOSPT strives to offer high-quality research, immediately applicable clinical material, and useful supplemental information on musculoskeletal and sports-related health, injury, and rehabilitation. Copyright ©2013 Journal of Orthopaedic & Sports Physical Therapy®



Get Strong! Stay Strong!
Chris

Sunday, September 22, 2013

Static Stretching is Not Evil?


A post by Greg Lehman on thebodymechanic.ca
This brief post has two main points:

Static stretching is not going to kill your performance

and

Static stretching is not a cure-all

Further, nothing in this post is even remotely new.
Are you against static stretching or just the nonsense that people have said about it?
The unsupported benefits of stretching may have caused many of us to look for reasons to attack stretching.For the past fifty years a simplistic view that stretching was both a cure and prevention for all musculoskeletal ailments has dominated sports medicine.  Many professionals and the media would suggest that you needed to stretch to not just prevent injuries (pick up any Runner’s World Magazine before 2009) but to ward off delayed muscle soreness, align your collagen fibres after an injury, break up scar tissue, permanently lengthen muscles to fix your posture and as an cure for any injury.  Ugh.  These ideas were extremely opinion driven with little evidence.
We’ve known for decades that its injury preventative influences were rather weak or questionable (See Shrier 1999) and its actual influence on muscle and the function of the body were overblown and again questionable (a brief review here).
But just because stretching is not helpful for a number of things does not mean it doesn’t have utility.
The evidence against stretching has mounted in the past 15 years
A body of work emerged showing decreases in power, strength, balance and/or speed following PROLONGED (>60 second holds) static stretching. (a nice review by a great Canadian researcher,David Behm is here and a more recent one is here). This work gave us more cause to question prolonged static stretching’s wonderfulness as a panacea and gave us some insight on how not to stretch . A horrible thing happened with this evidence against static stretching.  The “stretching sucks” swing of the pendulum went too far with many not reading and critically reviewing the literature and then applying this research inappropriately to clinical practice.

So now the “cutting edge” is anti-static stretching.

But this is not cutting edge – the research is old and it needs to be applied with a critical mind to our practical applications.  Throwing static stretching away is not research informed.  This is the same as telling people they have to stretch to  prevent injuries.  We are again confusing Shades of Gray for Black and White.  Those strongly against static stretching and suggesting it should not be part of a good warm up are just as ill informed as those that suggested stretching was the answer to everything musculoskeletal.
good blog post on the case for stretching (or at least reasons to hold our judgement can be seen here by Ben Bruno).  What I had read from the literature and what Ben stressed was:
Most of the research showing performance deficits following static stretching tested prolonged stretching protocols (greater than 60 second holds).  Most people in a warm up don’t do this.
 
And that is it.  Prolonged static stretching of greater than 60 seconds (not what is typically done in a warm up) slightly decreases the performance during some simple activities.  There is no research showing long term changes in performance, nothing showing an increase in injury risk, no reason to think that your joints become unstable or more susceptible to injury and no reason to think that stretching impairs our ability to adapt to a training stimulus.  Just maybe don’t stretch for longer than 60 seconds before an event.  Not that anyone every did this any way.
We need some caution in dismissing stretching
Stretching  can still be a useful tool in appropriate situations.  I’m not going to tell that runner who has been injury free for 15  years and stretching before every run to stop stretching.
Further, we also should not generalize prolonged static-stretching’s negative influence involving simple tasks across all aspects of human performance.
For example, a decrease of isometric ankle strength followings stretching does not mean a long distance runner will become more inefficient when running a 10k (and yes, this has been studied with decades of research, albeit conflicting, but much showing no change in running economy following stretching).
An example can be seen from my work as a mediocre researcher where we conducted a small, unpublished study in 2007 on trunk kinematics during the golf swing following a 60 second trunk rotation stretch. I was hoping to see losses of performances so I could get the thing easily published.  Ideally, a decrease in trunk rotational velocity.  Of the nine subjects, none decreased their velocity.  Interesting, there were also no changes in spine rotation, the x-factor or the x-factor stretch.
swing-sequences-spine-angle








Final Round Up – I am not saying to got out and statically stretch every athlete as a warm up
What I am suggesting is that we need some caution in just catastrophizing over simple exercises.  Static stretching can still have its purpose.    Even when I was a big anti-stretchite in the early 2000s I would warm up and static stretch during golf.  It did not change my performance and I needed the range to swing fluidly.  The demands of my sport and the limitations in my function determined what I needed to do to prepare.  This is how we need to treat all of our best practice recommendations.  Perform a needs analysis of your goal task, compare it to your athletes ability and determine what matches and what needs work.
Maybe you have a sport that just needs a fantastic warm up as the demands of the sport don’t see any athlete’s joint ranges come close to their maximum (many long distance runners for example).  These athletes may not need to stretch.  But maybe you need to prepare an athlete for the extreme range of movement they need in the sport.  You can have science on your side and incorporate a little static stretching (e.g. 10-30 second holds) and not have to worry about their performance suffering.  You only have to worry about a former pro-stretcher now evangelical anti-stretcher tweeting that sky is falling because pro football players were stretching when the lights went out during the Superbowl. Ugh.
To conclude I think its best to listen to David Behm:
Generally, a warm-up to minimize impairments and enhance performance should be composed of a submaximal intensity aerobic activity followed by large amplitude dynamic stretching and then completed with sport-specific dynamic activities. Sports that necessitate a high degree of static flexibility should use short duration static stretches with lower intensity stretches in a trained population to minimize the possibilities of impairments.

Get Strong.  Stay Strong!
Chris


Wednesday, May 29, 2013

The Final Nail in the Cardio Coffin


Article posted on T-Nation by Rachel Cosgrove
Feeling soft around the midsection? Can't see your abs anymore? Feel the need to get lean in a hurry?
Slacking off on your diet and workouts can do that to you. In my case, training for an Ironman triathlon can do that, too.
What? Yeah, you heard me right. This is exactly how I felt after training for and completing in my first Ironman.
My body was soft, with no definition, and had definitely changed due to spending the majority of my training in the steady-state aerobic zone – the same "fat burning zone" many books and magazine still talk about.
I was in great shape as far as my endurance and cardiovascular system were concerned, but I had less noticeable muscle tone and didn't have the definition I was used to having in my abs and arms.
Put it this way: I didn't even want to wear a crop top at my race because I didn't have abs, to show. In fact, I felt like I had rolls for the first time ever! My body had started to look like that of a flabby endurance athlete.
I'd lost some muscle and looked soft and flabby, but I was still happy with my performance and thrilled that I accomplished my goal.
running
No crop top, 'cause there's nothing to show off.
All of my training was done to get ready to complete an Ironman, and all of my nutrition was eaten to fuel me for the workouts. At the time, my goal wasn't to lose fat, but I was still amazed at how little fat I lost.
I worked my way up to doing twenty hours of endurance training a week. I also kept track of every calorie I ate; making sure my nutrition was right on track. I thought I'd be able to eat whatever I wanted, but I couldn't. I had to watch myself to keep from gaining any weight, and I still maintained about 2,000 to 2,500 calories a day.
Some of the workouts included eight or nine-hour sessions where I'd go for a 10-mile run, then jump on my bike for a 70-mile ride, and finish with another 4-mile run. I also continued to lift weights twice a week, in an effort to maintain some muscle tone, but also to stay injury-free and somewhat strong.
My body quickly adapted and I was able to increase my mileage until I could go for a 16-mile run or a 112-mile bike ride like it was "just another workout." It was amazing to see how the body adapts to demands and how far you can push yourself.
Unfortunately, this was also exactly why I didn't lose much fat – my body was adapting to what I was doing. My goal was to get my body super-efficient at running 20 miles and riding a bike for 100 miles, so when it came time for my race, I'd be able to do it.
However, the more your body adapts the fewer calories you burn. So, I was doing more and more exercise without burning as many calories, and therefore I wasn't losing any fat.


But They Call It The "Fat Burning Zone"

During a steady-state workout (when you move at the same pace for a certain amount of time), your body does burn a higher percentage of calories from fat. This is where that "fat burning zone" myth comes from. On the surface, it sounds like you're burning more fat calories.
excercise chart
The outdated chart and categories that people still, unfortunately, rely on.

There are two big problems with this.
  1. As I explained earlier, you burn fewer total calories as your body adapts. So even if you're burning a higher percentage of fat, you aren't burning as many calories overall. It's like winning 80% of a Lotto jackpot. It sounds good until you realize that the jackpot is just fifty bucks.
  2. Your body actually becomes efficient at storing fat. Since you're now burning fat as your primary source of fuel, your body adapts and becomes very good at storing fat. Blame it on a dumb self-preservation mechanism built into the body's operating system.


374 Hours of Training = 5 Pounds Lost

In seven months of training, I calculated that I worked out for 374 hours – that's an average of over thirteen hours a week! If I burned just ten calories a minute, it adds up to 224,400 calories. Doing the math (at 3,500 calories per pound), 224,400 calories should equal sixty four pounds lost!
Needless to say, I did not lose 64 pounds. Over those seven months, training an average thirteen to fourteen hours a week, I lost all of five pounds. That... was... it.
Now, we've heard many of the fitness experts tell us that, "steady-state aerobics is not effective for fat loss, and we've heard the scientific research that interval training is more effective.
But, still, I thought it would've been more effective than this! A lousy five pounds after doing 374 hours of training, while keeping tabs on what I'm eating! It's enough to make a girl give up the gym and take refuge in a box of Krispy Kremes.
Well, almost.
krispy kreme
What more could we ask for? Maybe some common sense?
Fortunately, I now have first-hand experience that steady-state aerobics is absolutely, completely, utterly ineffective for fat loss. After working my way up to twenty training hours a week, I can tell you that long, steady-state endurance is not the answer for a defined, lean physique and it's a waste of time if your goal is fat loss.
It's only the answer if your goal is to complete an endurance event.


Learn to Love Intensity, Not Duration

Let's review some of the research:
  • December 2006, Canadian researchers reported that just two weeks of interval training boosted women's ability to burn fat during exercise by 36%.
  • In January 2007, a six-month study was published showing that adding aerobic exercise had no additional effect on body composition, over diet alone.
  • In June of 2007, a twelve-month study was published which had the subjects doing six hours of aerobic exercise per week, training six days a week, for one year. The average weight loss was only three pounds for that one-year period.
  • According to a British study, levels of Human Growth Hormone, which assists in building muscle and burning fat, skyrocketed 530% in subjects after just thirty seconds of sprinting as fast as they could on a stationary bike.
  • Australian fitness researchers had eighteen women perform twenty minutes of interval training on a stationary bike – eight-seconds of sprinting followed by twelve seconds of recovery – throughout the workout, three days a week.
The women lost an average of five-and-a-half pounds over fifteen weeks, without dieting. Similar groups performing forty minutes of moderate cycling, three days a week, actuallygained a pound of fat over the same period. Two of the heavier women who did intervals dropped eighteen pounds.
  • In a side-by-side comparison, researchers at McMaster University in Ontario measured fitness gains in eight interval exercisers – using twenty to thirty minute cycling workouts that included four to six thirty-second sprints – against eight volunteers who pedaled at a lower intensity for 90 to 120 minutes.
After two weeks, the interval group was every bit as fit as those who worked out three to four times as long.


Undoing the Aerobic Damage

After completing my Ironman, I made fat loss my primary goal for eight weeks. I eliminatedall steady-state endurance exercise. No running, biking, swimming, or anything else in the steady-state.
My workouts consisted of high intensity for short bursts, whether it was with weights or doing a metabolic interval session. I lifted weights three days a week, and I performed interval-training workouts on the other days.
I made sure the interval workouts weren't on a treadmill or a bike. I only used bodyweight-exercise circuits, along with kettlebell circuits, as my cardio workouts.
kettlebell
These metabolic cardio workouts would crank my heart rate up for two minutes, I'd recover, and then repeat. Doing these interval circuits, along with strength training, took up a total of five to six hours a week, nothing like the twenty to thirty hours of Ironman training!
What happened? Like magic, my abs came back!
I dropped fifteen pounds of fat in an eight-week period and my body returned to being strong, defined, and lean. I no longer looked like a flabby endurance athlete, and I did it in a quarter of the time, compared to the aerobic training.
nice abs
Rumor has it that Justin Timberlake wrote a hit song after seeing this photo.


It Works, But Why?

One reason intervals are more effective is that they target more of your muscle. During endurance exercise, you use a lot of slow-twitch muscle fibers and too few fast-twitch muscle fibers. It's those fast-twitch muscle fibers that give you firm muscles and fast-tracked results.
Now don't get me wrong, I still enjoy heading out for a run or a bike ride occasionally, but I don't do it for fat loss. I do it because I enjoy it. Think about it. If you do a thirty minute walk at a steady-state, moderate pace, you'll shed about 150 calories.
If you mixed in eight thirty-second sprints, you'll burn closer to 200 calories. But the biggest factor is that after an interval session, your metabolism can stay elevated for a full day and you'll end up burning two to three times the total calories you'd expect to burn from lower intensity exercise.
Like that's not enough, intervals can also help to reverse the aging process. Fast-twitch fibers are the first to go when we age, largely because neurons stop communicating with them. Research has shown that you can increase neuron firing rates after just one week of training. With more muscles firing, you have more energy for life.
pull ups
It is time to bury the myth of using long, slow steady-state cardio to burn up fat, for good. No more spending hours and hours on a treadmill, elliptical, or bike. I've worked with many figure competitors to get them lean and defined using interval-style workouts, with a full-body strength training routine, and they've had great success.
bikini
Body built by Cosgrove, strength training, and intervals.


R.I.P. Aerobics

Get off the treadmill, stop spinning your wheels, and push yourself in the gym if you want to lose some serious fat. Take it from me, I finally learned first hand. It's time to put the last nail in the coffin of using aerobics for fat loss, bury it for good, and do some high intensity, interval dancing on its overdue grave.


About the Author

Rachel Cosgrove